Intermediate / Advanced
Mastering Implants in the Esthetic Zone
A Perio-Pros Approach
Course Led by
Dr. Hussein Basma

Now Open for Registration
Upcoming Course Dates
2026-2027 Core Curriculum Series
Clear and Transparent Pricing
The comprehensive Mastering Implant Dentistry program consists of four individual modules, each priced at $4,999.00. To complete the full program, all four modules must be purchased and registered for separately, bringing the total investment to $19,996.00. This allows you to tailor your registration to fit your schedule and needs.
Past Course Agenda
Course Agenda
Course Media
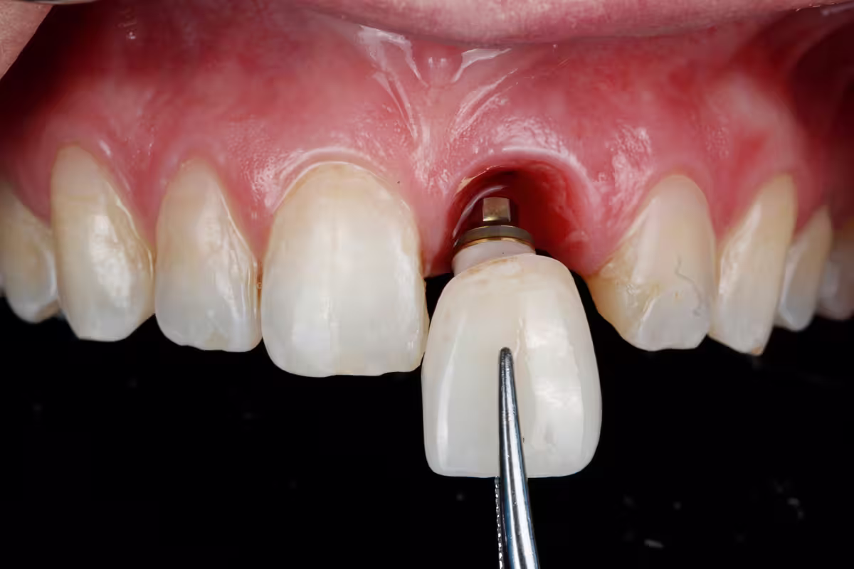
Enhance Esthetic Outcomes with Precision
- Master the integration of advanced digital workflows with essential biological principles.
- Learn techniques to preserve and enhance soft tissue, creating natural-looking restorations that meet the highest esthetic standards.
Expand Your Skill Set with Evidence-Based Techniques
- Gain hands-on experience with periodontal surgery techniques crucial for successful esthetic implant procedures.
- Understand the latest protocols to balance digital precision with biologic factors, ensuring stable, long-term results for your patients.


Increase Procedure Revenue Through Specialized Expertise
- Develop proficiency in complex esthetic-zone cases to attract a broader patient base.
- Enhance your practice’s offerings with cutting-edge techniques that set you apart as an expert in both surgical and prosthetic esthetic solutions.
- Reduce your referrals to other professionals and keep revenue within your practice
Course Topics
Treatment Planning for Immediate vs. Delayed Implant Placement
Explore key considerations and strategies for selecting the optimal timing for implant placement in esthetic cases.
Achieving Predictable Esthetic Outcomes with Digital and Conventional Workflows
Learn how to blend digital technology with traditional techniques to ensure stable, visually appealing results.
Biologic Principles in Esthetic Implant Surgery
Understand and apply essential biologic concepts that contribute to soft tissue preservation and enhanced implant success.
Provisionalization and Custom Tissue Formers for Optimal Soft Tissue Architecture
Master the art of creating customized tissue formers to shape ideal soft tissue profiles for implant-supported restorations.
Long-Term Stability of Esthetic Implant Restorations
Gain insights into techniques and materials that support durable, esthetic outcomes and maximize patient satisfaction.
Course Objectives
- Recognize treatment planning considerations factors for immediate vs delayed implant placement
- Understand how to achieve excellent esthetic outcomes with good long-term stability of dental implants using conventional and digital workflows
- Apply biologic principles for current surgical and prosthetic procedures in the esthetic zone
- Master the principles of provisionalization and custom tissue formers to create optimal soft tissue architecture for implant-supported restorations.
Pre-Conference Workshops
Optional Package Add-ons
Check out our vendor specials and contact the designated representative to claim your discount.
What Attendees Are Saying
Dr. Hussein Basma’s 'Mastering Implants in the Esthetic Zone' course is a must for any dentist looking to elevate their practice. The course not only covered the fundamentals of esthetic implant placement but also delved deeply into advanced topics like immediate placement, provisionalization, and digital planning for full arch restorations. The hands-on sessions were unparalleled, with opportunities to practice everything from immediate implant placement to temporary restorations under Dr. Basma’s expert guidance. His teaching approach is clear, detailed, and inspiring. I’ve already seen improvements in my treatment outcomes thanks to what I learned.
Dr. Hussein Basma’s 'Mastering Implants in the Esthetic Zone' course exceeded all my expectations. The level of detail in the lectures and hands-on sessions was extraordinary, leaving no gaps in understanding the challenges of immediate implant placement. Dr. Basma is not just an expert but also a gifted educator who explains every step with clarity and precision. I left the course feeling inspired and equipped with new tools and techniques that I am already implementing in my practice. This course is a must for anyone serious about immediate implant placement and restoration.
Dr. Hussein Basma’s course on implants in the esthetic zone was one of the most comprehensive I’ve ever attended. It covered everything from immediate implant placement and provisionalization to soft tissue management and digital workflows. The hands-on sessions were exceptionally well-designed, allowing us to practice flap designs, suturing techniques, and guided implant placement with precision. Dr. Basma’s expertise and ability to connect biological principles with advanced digital technologies made the learning experience both practical and enjoyable. This course has significantly enhanced my confidence in managing complex esthetic cases.
Convenient Financing Solutions
Take advantage of tailored payment solutions to suit your needs. Choose quick financing through Live Oak Bank to cover all course-related expenses, or opt for flexible payment plans that let you pay in full or in manageable installments over time.
This course is currently sold out. Leave your contact information below and we'll reach out if more seats become available for this event.

We will be announcing future dates for this course in the near future. Please leave your contact information and we will reach out as soon as new course dates are announced.














.webp)

