Entry-Level Clinicians
Full Arch Implant Boot Camp Level 1
Overdentures to All-on-XYZ for Entry-Level Clinicians
A clinician’s first step to confident full-arch rehabilitation. Get full-arch basics in just two days at the prestigious Pikos Institute.


Course Agenda
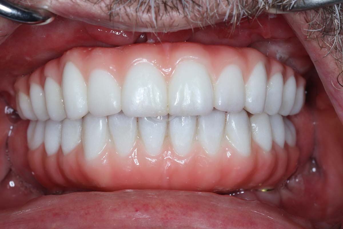
Course Media
This course is designed for general dentists, DSO clinicians, and early-stage implantologists looking to expand into full-arch implant rehabilitation. This level 1 beginner course is designed to connect with our intermediate/advanced Level 2 All on XYZ Full Arch Rehabilitation CE-Based Course.
Jumpstart Your Full-Arch Journey
- Gain the surgical and restorative groundwork needed to succeed in All-on-4, All-on-6, and All-on-XYZ cases.
Hands-On, High-Yield Learning
- Place implants in simulated models, practice MUA placement, and gain confidence in full-arch instrumentation.
Simplify The Complexity
- Demystify digital workflows, case selection, torque thresholds, and prosthetic planning—all in one fast-paced weekend.
Learn From Industry Leading Experts
- The Pikos Institute esteemed faculty, and the Institute have been teaching over 7,000 clinicians for the past 35 years in advanced complex procedures.


Course Topics
Day 1
- Foundational principles and overdenture treatment planning
- Patient evaluation for full-arch therapy: anatomy, risks, and expectation management
- Medical history, informed consent, and financial discussion essentials
- Diagnostic protocols: intraoral photography, impressions, and baseline records
- Decision-making in terminal dentition: when to extract and when to retain
- Treatment planning fundamentals: overdenture vs fixed, VDO, restorative space, and inter-arch assessment
- Prosthetic classifications and design considerations: FP1-FP3, smile line, and occlusal parameters
- Surgical and prosthetic protocols for overdentures: implant positioning, flap design, and attachment systems
Day 2
- Fixed solutions, workflow execution, and hands-on practice
- Fixed full-arch prosthetics in abundant bone: material selection, design, and restorative evolution
- Surgical and prosthetic workflow: clinical steps, tools, and error prevention strategies
- Maintenance and hygiene protocols, followed by hands-on training in implant placement, abutment connection, provisionalization, and prosthetic maintenance techniques
Learning Objectives
- Identify ideal patients and avoid red flags in full-arch case selection.
- Interpret CBCT scans to evaluate bone, nerves, and sinus positions for full-arch planning.
- Understand the role of torque, stability, and MUA in immediate loading.
- Demonstrate basic implant placement on edentulous models.
- Communicate digital scan and photo data to labs effectively.
- Develop a simple treatment protocol for terminal dentition and edentulous cases.
Pre-Conference Workshops
Transnasal and Transsinus Technique
Pterygoid Implant Therapy - How & Why
Digital Workflow for the Full Arch Reconstruction
Pterygoid, Zygomatic, and Transnasal Dental Implants – Hands-on Workshop [SOLD OUT]
Zygomatic Implant Placement on a Printed Model Simulating a Real-Life Case
Optional Package Add-ons
Check out our vendor specials and contact the designated representative to claim your discount.
- Salvin Siegle Round Scalpel Handle (SIEGEL)
- #15 Sterile, Carbon Blade, 100/BX (BLAD 15)
- Salvin Quinn Type Elevator (Q-ELEV)
- Salvin Stainless Steel UNC Probe (PROBE-UNC)
- Salvin Weider Tongue Retractor-Small-31mm (WEIDER-SMALL)
- Salvin Modified Frazier Surgical Aspirator-3mm Tip (FR3A)
- Salvin Crile Wood Tungsten Carbide Tipped Needle Holder-For 3-0 to 5-0 Sutures (CRILE)
- Salvin Dean Scissors-6 ¾” (17.2cm) (DEAN)
- Salvin Minnesota Retractor (MINN)
- Aspirating Syringe CW Type (Syringe CW)
- Salvin Pikos Block Contouring Bur Straight HP (PIKOS-BLOCK-CONTOUR)
- Salvin Serrated Lucas 84 Bone Curette (LUCAS-SERR-84)
- Salvin Serrated Lucas 86 Bone Curette (LUCAS-SERR-86)
- Salvin Beyer Double Action Rongeur 3.5mm Bite 17.8cm Long (BEYER)
- Salvin Adson Forceps TC 4 ¾” (12cm) (ADSON TC)
- Salvin Adson 1x2 Tissue Forceps-4 ¾” (12cm) (ADSON 1x2)
- Featherlite Snagless Needle Holder For 5-0 to 10-0 Sutures-Thumb Lock (NH-ROUND-7-TCL-R)
- Salvin Seldin 23 (SELDIN)
To purchase, please contact your course rep Olivia Williamson at 828-773-6396
- Salvin Titanium Graft Packer/Placement Site Depth Gauge (GRAFT-PACKER-TI)
- Salvin Straight Periotome With Fixed Straight Tip (PERIOTOME-STR)
- Salvin DGA-35 Deep Grip Extended Tip Length Serrated Extraction Forcep (DGA-35)
- Salvin DGA-36 Deep Grip Extended Tip Length Serrated Extraction Forcep (DGA-36)
- Salvin DGA-37 Deep Grip Extended Tip Length Serrated Extraction Forcep (DGA-37)
- Salvin Pikos Scoring Bur (PIKOS-SCORINGBUR)
- Salvin Elevator DEL 34 (DEL 34)
- Salvin Elevator DEL 301 (DEL 301)
- Salvin DEF 23 German Stainless Steel Extraction Forcep (DEF 23)
- Salvin Kelly Hemostat-Curved-14cm (KELLY-CURV-HEMO)
- Salvin Iris SuperCut Serrated Scissors-11cm Curved (SC IRIS CU)
- Salvin PDL-Evator Luxating Elevator-Straight-2.5mm Tip (PDL-STRAIGHT)
- Salvin Heidbrink H1 Root Tip Pick (HEID 1)
- Salvin Heidbrink H2 Root Tip Pick (HEID 2)
- Salvin Heidbrink H3 Root Tip Pick (HEID 3)
To purchase, please contact your course rep Olivia Williamson at 828-773-6396
- 20 Tapered Pro Conical Laser-Lok
- 1 Pro Surgical Kit (PRO5000)
- 1 Pro Freehand Surgical Kit (FSK5000)
- 1 Prosthetic Kit (PROS3000)
- 1 BioHorizons Adjustable Torque Wrench (BIOTORQ)
- 10 Conical Healing Caps
- 6 Conical Titanium Scan Bodies
- 3 Striate+, 15x20mm
- 3 Genate Blend, 0.5cc
To purchase, please contact your course rep Robert Lacey at 813-618-1372
- 20 Tapered Pro Conical Laser-Lok
- 1 Pro Surgical Kit (PRO5000) OR Pro Freehand Surgical Kit (FSK5000)
- 1 Prosthetic Kit (PROS3000)
- 1 BioHorizons Adjustable Torque Wrench (BIOTORQ)
- 10 Conical Healing Caps6 Conical Titanium Scan Bodies
- 3 Striate+, 15x20mm
- 3 Genate Blend, 0.5cc
To purchase, please contact your course rep Robert Lacey at 813-618-1372.
What Attendees Are Saying
Convenient Financing Solutions
Take advantage of tailored payment solutions to suit your needs. Choose quick financing through Live Oak Bank to cover all course-related expenses, or opt for flexible payment plans that let you pay in full or in manageable installments over time.
This course is currently sold out. Leave your contact information below and we'll reach out if more seats become available for this event.

We will be announcing future dates for this course in the near future. Please leave your contact information and we will reach out as soon as new course dates are announced.




















































.jpg)





.webp)

